ΣΧΕΔΙΑΣΗ ΧΑΜΟΓΕΛΟΥ
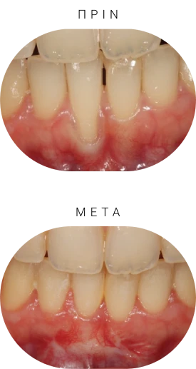
Αντιμετώπιση Υφιζήσεων (Υποχώρησης) των Ούλων
Υπάρχουν περιπτώσεις που η υποχώρηση των ούλων κάνει τα δόντια να φαίνονται πιο μακριά. Αυτό συχνά οφείλεται σε τραυματικό βούρτσισμα, λεπτά κινητά ούλα, ορθοδοντικές μετακινήσεις, ή φλεγμονές. Η θεραπεία κρίνεται αναγκαία όταν οι υφιζήσεις ενοχλούν αισθητικά, επιδεινώνονται και επηρεάζουν την στήριξη του δοντιού, συνοδεύονται με οδοντική ευαισθησία λόγω αποκαλυμμένης ρίζας, ή προκύπτει κίνδυνος τερηδονισμού αυτής. Για να καλυφθεί η ρίζα και να δημιουργηθούν ούλα στην περιοχή, πραγματοποιείται χειρουργική επέμβαση με μικροχειρουργικά εργαλεία και χρήση μοσχευμάτων ούλων, είτε εμπορικών είτε από την υπερώα (ουρανίσκο) του ασθενή.

Διόρθωση Ουλικού Χαμόγελου

Το "ουλικό χαμόγελο" είναι ένα πρόβλημα αισθητικής κυρίως φύσης, που ενοχλεί πολλούς ασθενείς που, όταν χαμογελούν, τα δόντια τους φαίνονται δυσανάλογα κοντά ή/και μικρά, καθώς υπάρχει περίσσεια ούλων που καλύπτει και κρύβει το πραγματικό μέγεθος των δοντιών. Το πρόβλημα διορθώνεται χειρουργικά, με την αισθητική επιμήκυνση της μύλης. Η τεχνική αυτή απομακρύνει την περίσσεια των ούλων, αποκαθιστώντας αισθητικά το μέγεθος των δοντιών. Σε κάποιες περιπτώσεις, χρησιμοποιούνται lasers, ενώ, σε συνδυασμό και με άλλες παρεμβάσεις, η συμμετρία του χαμόγελου αποκαθίσταται αρμονικά, χαρίζοντας στον ασθενή την επιθυμητή όψη.
Διόρθωση Ασυμμετριών στο Χαμόγελο
Οι ασυμμετρίες στο περίγραμμα των ούλων των πρόσθιων δοντιών οδηγούν σε ένα αισθητικά δυσαρμονικό χαμόγελο. Η αισθητική αρμονία αποκαθίσταται ανώδυνα και γρήγορα με την τροποποίηση του περιγράμματος των ούλων, είτε με μικροσκοπικές τομές είτε με τη χρήση laser.
Λεύκανση

Ένα φωτεινό χαμόγελο ενισχύει την αυτοπεποίθηση, ενθαρρύνει την επικοινωνία και ταυτίζεται με τη θετική ενέργεια. Η λεύκανση των δοντιών είναι η πιο γρήγορη, συντηρητική και ασφαλής μέθοδος για να φωτίσει ένα χαμόγελο, αρκεί να γίνεται εξατομικευμένα και με σωστή ιατρική επίβλεψη. Στο ιατρείο μας επιλέγουμε τη λεύκανση με ήπιους λευκαντικούς παράγοντες, εξαλείφοντας τις χρωστικές των δοντιών χωρίς να επιβαρύνεται η οδοντική ουσία, ενώ είμαστε σε θέση να αντιμετωπίσουμε τυχόν ευαισθησίες. Απαραίτητη προϋπόθεση είναι να προηγηθεί επαγγελματικός καθαρισμός, ενώ, ανάλογα του περιστατικού, επιλέγεται το κατάλληλο είδος λεύκανσης: